Leistungen

Rundum Service

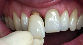
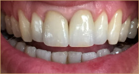
Wir bieten zuverlässige Serviceleistungen und persönliche Beratung für Zahnärzte und Patienten. Dabei nutzen wir Informationssysteme für Patienten wie z.B. das Fertigen eines Wax-up. Unser Anliegen ist es, jeden Patienten zu 100% zufrieden zu stellen. Das erfordert eine enge Kooperation mit dem Behandler. Die Farbnahme für die neuen Zähne führen wir deshalb im laboreigenen Farb- und Beratungsraum aus. Zum Vollenden der Arbeit laden wir die Patienten gerne zum “Glanzbrand” ein, um die Harmonie von Form und Farbe abzustimmen.

Technik:

Analog versus CadCam

Zahntechnik ist vor allem individuelle Handarbeit. Kein Werkstück ist wie das andere – jede Anfertigung ist ein Unikat - so wie jeder Mensch. Unterstützt werden unsere Zahntechniker durch modernste CadCam-Technik. Kompetentes handwerkliches Know How, das Zusammenspiel von kreativer und vielfach erprobter Technik garantieren im Ergebnis optimale Funktionalität und eine einwandfreie Verträglichkeit

Unsere umfangreichen

Leistungen für Sie

Veneers Kronen und Brücken in: Metall verblendet Keramik gepresst Keramik gefräst und verblendet in Cercon Celtra Press E-Max CAD-CAM-Technologie Implantologie, festsitzender und herausnehmbarer Ersatz Kombi- und Metallgussarbeiten Kunststoff Angewandte Okklusions- und Funktionslehre helfen individuelle Aufgaben fachgerecht zu lösen.

Workshops für externe

Dentaltechniker

Wir arbeiten Hand in Hand für unsere Patienten, schaffen durch Weiterbildung und kontinuierliche Aktualisierung unserer Technik beste Voraussetzungen für gelungene Arbeiten. Wir bieten Workshops für externe Dentaltechniker sowie wertvolle Fortbildungen für Zahnärzte im eigenen Haus an und leisten so einen wichtigen Beitrag zum Erhalt eines hohen Qualitätsstandards in der Zahntechnik.

Wir sind für Sie da

Zahntechnische Anforderungen sind so individuell wie die Wünsche und Erwartungen der Patienten. Das Ziel unserer motivierten Mitarbeiter ist ein optimales Ergebnis und ein Höchstmaß an Funktionalität und Ästhetik. Von der Krone bis zum Implantat betrachten wir jedes Einzelstück als technisch ausgefeiltes Kunstwerk, das individuell zum Menschen passt. Wir freuen uns darauf, Sie mit unseren zahntechnischen Leistungen zu überzeugen. Kim Lucka, Christian Lucka und das gesamte Laborteam.
© 2025 Lucka Dental-Labor Zahntechnik GmbH
Datenschutz

Leistungen

Rundum Service

Wir bieten zuverlässige Serviceleistungen und persönliche Beratung für Zahnärzte und Patienten. Dabei nutzen wir Informationssysteme für Patienten wie z.B. das Fertigen eines Wax-up. Unser Anliegen ist es, jeden Patienten zu 100% zufrieden zu stellen. Das erfordert eine enge Kooperation mit dem Behandler. Die Farbnahme für die neuen Zähne führen wir deshalb im laboreigenen Farb- und Beratungsraum aus. Zum Vollenden der Arbeit laden wir die Patienten gerne zum “Glanzbrand” ein, um die Harmonie von Form und Farbe abzustimmen.

Technik:

Analog versus CadCam

Zahntechnik ist vor allem individuelle Handarbeit. Kein Werkstück ist wie das andere – jede Anfertigung ist ein Unikat - so wie jeder Mensch. Unterstützt werden unsere Zahntechniker durch modernste CadCam-Technik. Kompetentes handwerkliches Know How, das Zusammenspiel von kreativer und vielfach erprobter Technik garantieren im Ergebnis optimale Funktionalität und eine einwandfreie Verträglichkeit

Unsere umfangreichen Leistungen für

Sie

Veneers Kronen und Brücken in: Metall verblendet Keramik gepresst Keramik gefräst und verblendet in Cercon Celtra Press E-Max CAD-CAM-Technologie Implantologie, festsitzender und herausnehmbarer Ersatz Kombi- und Metallgussarbeiten Kunststoff Angewandte Okklusions- und Funktionslehre helfen individuelle Aufgaben fachgerecht zu lösen.

Workshops für externe Dentaltechniker

Wir arbeiten Hand in Hand für unsere Patienten, schaffen durch Weiterbildung und kontinuierliche Aktualisierung unserer Technik beste Voraussetzungen für gelungene Arbeiten. Wir bieten Workshops für externe Dentaltechniker sowie wertvolle Fortbildungen für Zahnärzte im eigenen Haus an und leisten so einen wichtigen Beitrag zum Erhalt eines hohen Qualitätsstandards in der Zahntechnik.

Wir sind für Sie da

Zahntechnische Anforderungen sind so individuell wie die Wünsche und Erwartungen der Patienten. Das Ziel unserer motivierten Mitarbeiter ist ein optimales Ergebnis und ein Höchstmaß an Funktionalität und Ästhetik. Von der Krone bis zum Implantat betrachten wir jedes Einzelstück als technisch ausgefeiltes Kunstwerk, das individuell zum Menschen passt. Wir freuen uns darauf, Sie mit unseren zahntechnischen Leistungen zu überzeugen. Kim Lucka, Christian Lucka und das gesamte Laborteam.
Impressum
© 2025 Lucka Dental-Labor Zahntechnik GmbH